The UK’s first MR guided, daily-adapted, real-time, Gated SABR for central lung tumours
Clinicians at GenesisCare in Oxford have treated the first patient with a central lung tumour using an innovative form of radiotherapy that uses real-time magnetic resonance imaging to ‘see as it treats’.
Stereotactic Ablative Body Radiotherapy (SABR), is a recommended curative treatment for inoperable peripherally located early stage lung cancer with excellent local control and survival (1). As you may be well aware, high grade toxicities have been reported with the treatment of centrally located lung tumours, until now.
The MRIdian, MR-linac is state-of-the-art SABR technology that combines an MR scanner with a powerful linear accelerator. It provides superior soft tissue resolution and allows for on-table adaptation of radiotherapy plans to account for the daily change in position of a tumour and nearby organs at risk. In addition, the use of real-time gated treatment delivery in breath-hold results in improved tumour control and reduced toxicity.
GenesisCare commenced treatment using the very first MRIdian MR-linac in the UK in December 2019 and has subsequently treated over 50 patients in the first 5 months. Using this remarkable system, our team of highly trained MR linac expert oncologists including Consultant Clinical Oncologist, Dr. Veni Ezhil, has now become the first to successfully treat a central lung tumour. The patient a 72 year old male, received eight treatments delivered on alternate days. Daily on-table adaptation helped to sculpt the dose to the proximal bronchial tree and great vessels to keep them well within tolerance while delivering a high dose to the tumour.

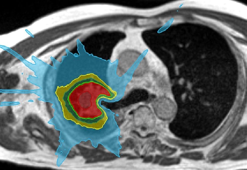
Figure 1- Proximal bronchial tree sparing using daily adaptation

Figure 2- Tumour tracking using ViewRay MRIdian’s automated beam gating
Dr Ezhil commented, “The MRIdian, MR Linac has made safe treatment of central lung tumours a possibility for patients who are considered high risk for surgery, especially during this current COVID pandemic. This was achieved with no reported acute toxicity and it is the first time this has been achieved anywhere in the UK.”
With the MRIdian, MR-linac, treatment delivery is very much patient-led and uses a monitor which patients view through specially designed glasses during their treatment. The patient can visualise their tumour on the monitor and, by controlling their breathing, can accurately position it within a defined boundary which causes the MRIdian treatment beams to turn on; as soon as the patient begins to breathe out, the treatment beams switch off.
“Many of our patients have likened this method of beam-gating to a computer game. They feel in control of their treatment and the feedback has been very positive” says Donna Hughes, Lead MR-Linac Radiographer.
The patient who received the treatment, Mr Peters, commented, “I feel very honoured to have been given the opportunity of this revolutionary treatment, undertaken by a first class team, along with a very knowledgeable and excellent consultant Dr. Ezhil. There was no discomfort from the treatment and I found the whole experience, very interactive”.
Adam Nash, Senior Dosimetrist says “Planning and treating on the MRIdian gives clinicians, physicists and radiographers the ability to plan and deliver radiation doses to volumes previously deemed either problematic or technically impossible.”
Mr Peters, the UK’s first central lung tumour patient on the MRIdian, MR linac says, ‘I had control over the treatment. This was done by viewing the affected area (in my case the lung) on a screen at the rear of the scanner through glasses with mirrors attached. You hold your breath to keep the tumour (blue) within the boundary (red) and when they are aligned the machine delivers the treatment. If there is no alignment the machine will not deliver.”

Mr John Peters who recently finished his radiotherapy MRLinac treatment to his lung during Covid-19
Patients are travelling the length of the country to access this incredible technology. Do not hesitate to contact me or the team at GenesisCare Oxford if you have any questions or a patients you might wish to consider for MRIdian MR linac treatment.
Kind regards,
Veni Ezhill
Consultant Clinical Oncologist and SABR Specialist Advisor

Reference
- Gregory M.M. Videtic et.al. Stereotactic Body Radiation Therapy for Early Stage Non-small cell Lung Cancer- an ASTRO Evidence-Based Guideline. Pract Radiat 2017 Sep – Oct;7(5):295-301